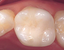
Das hochmoderne CEREC 3-D Verfahren ermöglicht eine computergestützte Anfertigung von Zahnersatz aus Vollkeramik. Das Behandlungsspektrum umfasst hierbei vollkeramische Inlays oder Onlays, vollkeramische Kronen und Brücken auf natürlichen Zähnen oder Implantaten, sowie vollkeramische Brücken. Die Behandlung kann auf Wunsch an nur einem Tag abgeschlossen werden.
Nach dem Abschleifen des Zahnes wird in nur wenigen Sekunden der Zahn mit Hilfe einer dreidimensionalen Kamera gefilmt. Der von den Patienten oft als unangenehm empfundene Abdruck entfällt. Die 3-D-Videoaufnahme ist nun am Computermonitor sichtbar und der Zahnersatz kann konstruiert werden. Bei Implantatversorgungen wird ein Scankörper auf das Implantat aufgeschraubt und mittels einer Videoaufnahme erfasst. Auch hier erfolgt im Anschluss die Konstruktion des Zahnersatzes am Computerbildschirm. Sie können also die Konstruktion Ihrer Versorgung in Echtzeit am Computer verfolgen. Die Daten werden an eine Fräsmaschine weitergeleitet, die den passgenauen Zahnersatz aus einem Keramikblock anfertigt. Die fertige Restauration wird dauerhaft eingeklebt.
Das CEREC 3-D Verfahren bietet durch die dreidimensionale Rekonstruktion des Zahnes eine passgenaue Anfertigung und eine optimale Ästhetik des Zahnersatzes. Die verwendetet Lithiumdisilkatkeramik zeichnet sich durch eine extrem lange Haltbarkeit aus.
Möchten Sie mehr über die CEREC-Methode erfahren, fragen Sie uns einfach. Wir beraten Sie gerne.